Если в корзине что-то есть - она будет показана на странице.
Для оформления заказа будет использована форма с кодом b-6a317
Для оформления заказа будет использована форма с кодом b-6a317
Остались вопросы?
Оставьте ваши контакты и менеджер с вами свяжется
Эмиль Абиев
Терапия, ортопедия
- Врач-стоматолог, реставратор, ортопед
- Практикующий врач в городе Москва
- Специалист в области эстетической и реставрационной стоматологии.
- Победитель регионального и мирового финалов конкурса GCCC 2019-2020 по эстетической реставрации зубов
- Лектор авторского курса в сфере эстетической стоматологии «Aesthetic Restoration. Road to the stars»
Курсы и вебинары от спикера:
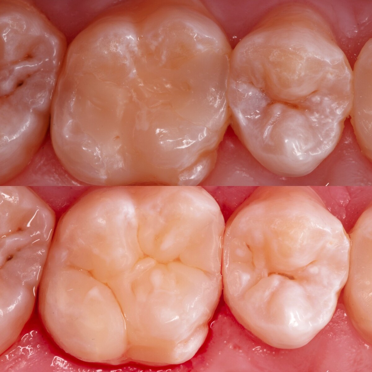
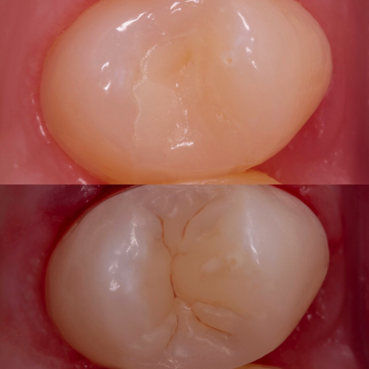
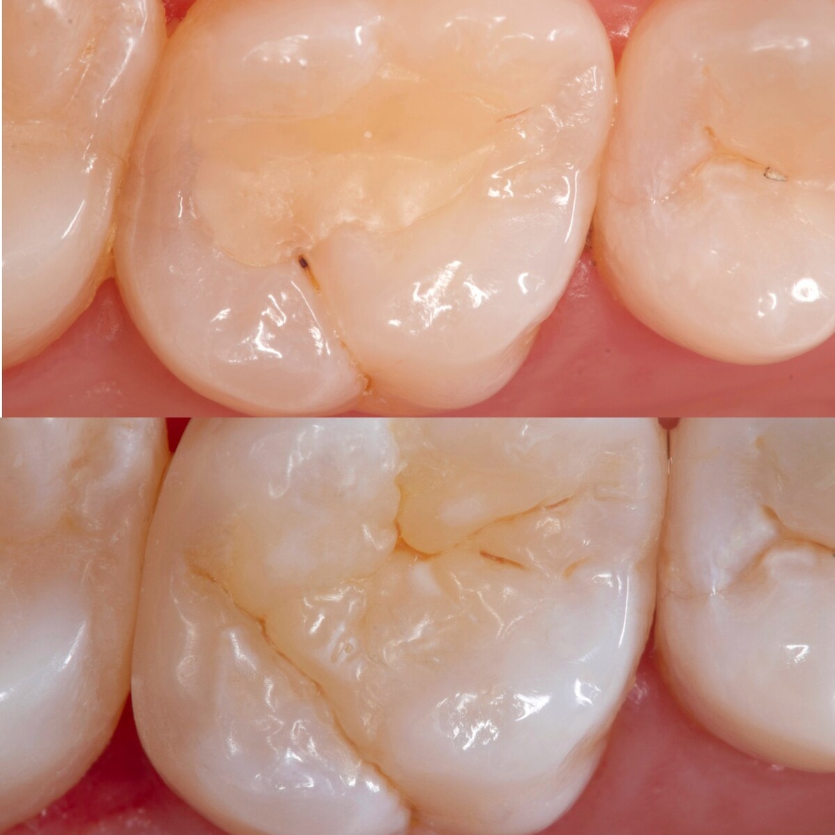
Композитная реставрация жевательной группы зубов
Запись вебинара
Эмиль Абиев
Терапия
3 590 ₽
Вы освоите анатомию и морфологию зубов жевательного отдела, узнаете как правильно моделировать и воспроизводить реставрацию зубов, не нарушая функциональную реабилитацию.
Реставрации по II классу
запись вебинара
Эмиль Абиев
Терапия
4 490₽
На лекции будет рассмотрен четкий алгоритм создания реставраций по II классу с получением плотного и правильного контактного пункта. Вы изучите разные протоколы полировки, шлифовки и препарирования. Разберетесь во всём необходимом инструментарии и материалах, их применении, которых будет достаточно, чтобы выполнить успешную реставрацию в дальнейшем. Узнаете, как оптимизировать все и любые мелочи в процессе лечения, а также тонкости, секреты, авторские методики, анализ типичных ошибок, чтобы ваша практика стала эффективнее и проще.
Социальная сеть

*Признана экстремистской
организацией и запрещена в РФ
Все права защищены
ИП Налетов Григорий Алексеевич
ОРГНИП 322762700019102
152905, ул. Суркова, д.21, кв.66, г. Рыбинск, Ярославская область
Остались вопросы?
Оставьте ваши контакты и менеджер с вами свяжется