Если в корзине что-то есть - она будет показана на странице.
Для оформления заказа будет использована форма с кодом b-6a317
Для оформления заказа будет использована форма с кодом b-6a317
Остались вопросы?
Оставьте ваши контакты и менеджер с вами свяжется
Евгения Бойцова
Ортопедия
- Опыт работы более 10 лет
- Профессиональный опыт:
- 2012 — Окончила с отличием Саратовский Медицинский университет
- 2013 — Училась в интернатуре в Московском МГУ
- 2014 — Обучение в Гамбурге, Германия
- 2013-2015 — Ординатура по ортопедической стоматологии ЦНИИС и ЧЛХ
- 2019 — Организация здравоохранения и общественного здоровья
- Ключевые результаты:
- Основатель и главный врач стоматологической клиники г.Москва «Астевита»
- Автор запатентованного аппарата для лечения
- Востребованный автор и лектор многих курсов
- Медицинский блогер 27.5 т. подписчиков (@evg_dent)
Курсы и вебинары от спикера:
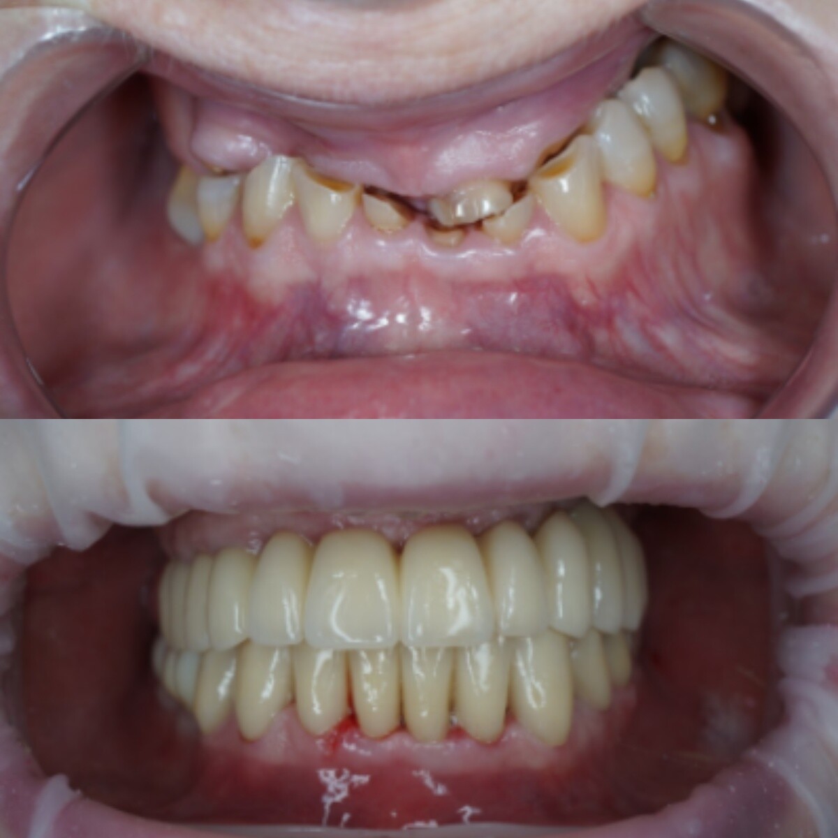
Восстановление зубов адгезивными керамическими реставрациями.
5 модулей
Евгения Бойцова
Ортопедия
32 670 ₽
Вы освоите все методики восстановления современных керамических реставраций, применяемых в разных клинических ситуациях, что позволит сделать в итоге качественную конструкцию. Научитесь изготавливать временные коронки в одно посещение на приёме, а также получать качественные оттиски и осуществлять микроинвазивное протезирование.
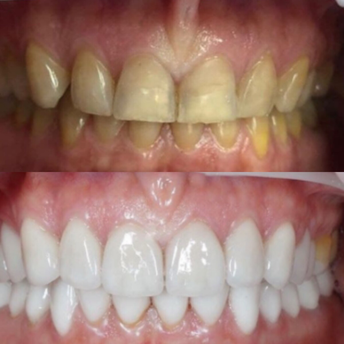
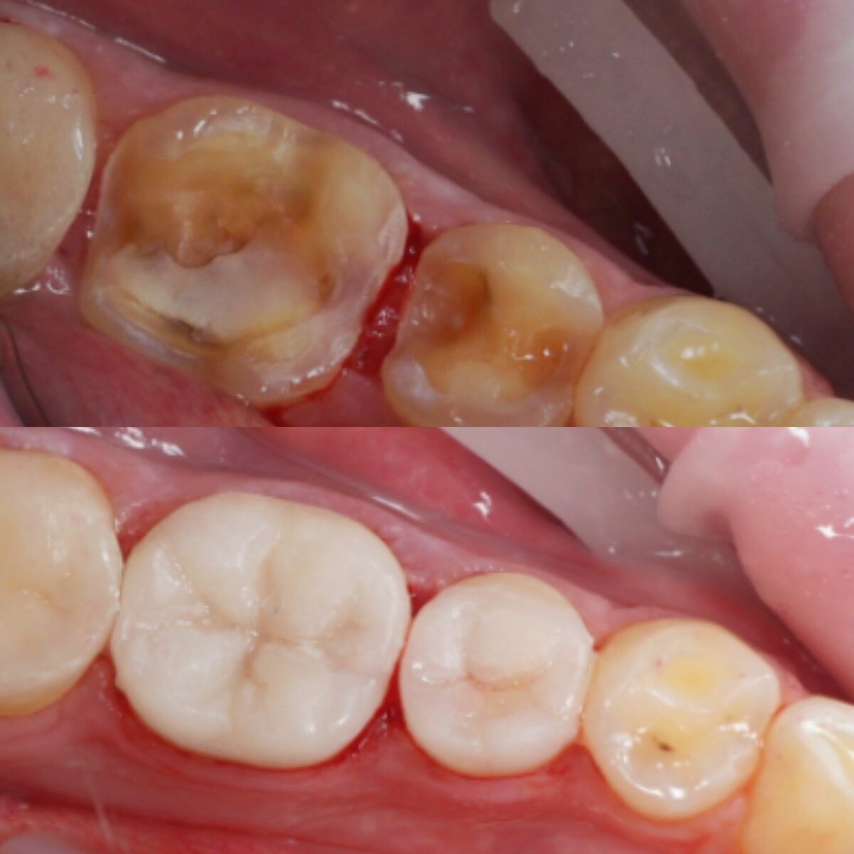
Полные коронки: пошаговый план изготовления
Запись вебинара
Евгения Бойцова
Ортопедия
3 870 ₽
Вы научитесь изготавливать качественные и долгосрочные коронки своим пациентам, уверенно разбираясь в разных техниках одонтопрепарирования. Узнаете алгоритм изготовления коронки от момента одонтопрепарирования до полной постоянной фиксации.
Социальная сеть

*Признана экстремистской
организацией и запрещена в РФ
Все права защищены
ИП Налетов Григорий Алексеевич
ОРГНИП 322762700019102
152905, ул. Суркова, д.21, кв.66, г. Рыбинск, Ярославская область
Остались вопросы?
Оставьте ваши контакты и менеджер с вами свяжется