Для оформления заказа будет использована форма с кодом b-6a317
Остались вопросы?
Оставьте ваши контакты и менеджер с вами свяжется
Цикл вебинаров - Современные протоколы прямых реставраций: от диагностики до блеска
11 вебинаров — полный цикл по прямым реставрациям. Вас ждет практическая программа от ведущих экспертов: от препарирования и выбора композита до адгезивных технологий, моделирования и финишной полировки. Реальные кейсы, пошаговые протоколы и современные методы — все, чтобы ваши реставрации были эстетичными, точными и долговечными.
Мы собрали лучшие и самые популярные вебинары и лекции на нашей платформе, выбранные экспертами отрасли!
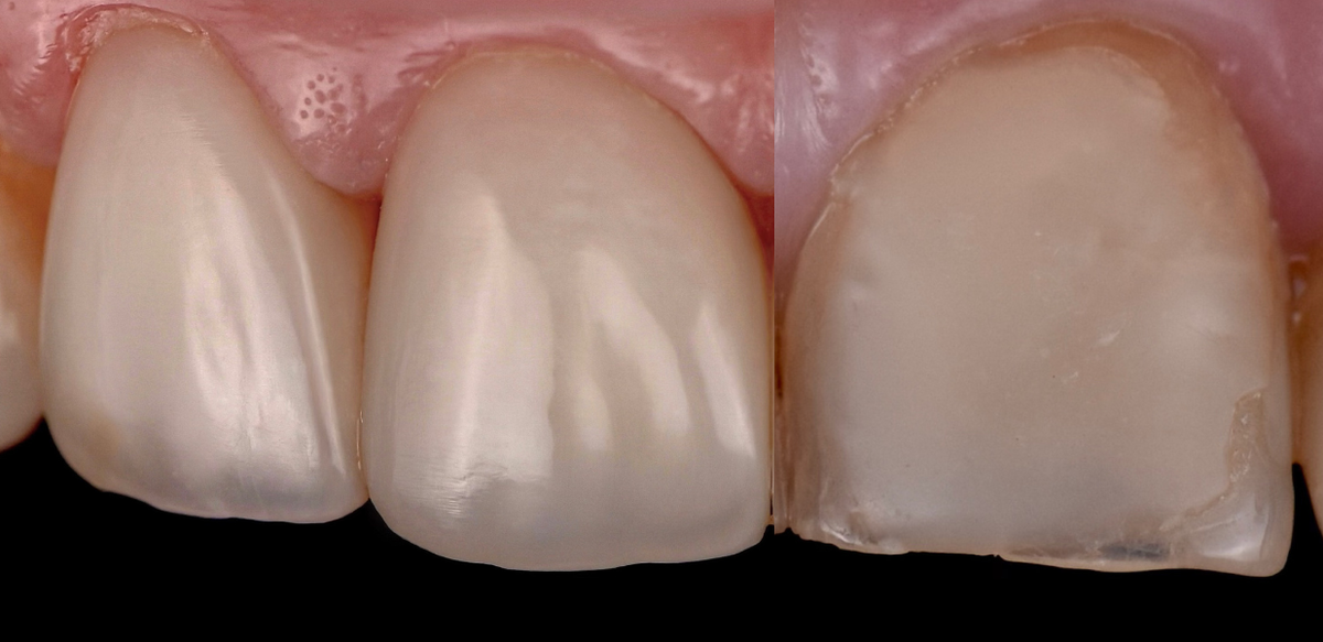
- По данным Journal of Esthetic and Restorative Dentistry (2024), более 65% терапевтических приёмов связаны с композитными реставрациями. Однако до 40% из них требуют коррекции в первые три года — чаще из-за ошибок в адгезии, морфологии или полировке.
- Современные протоколы — это не просто обновлённые схемы, а философия минимальной инвазии, точной изоляции и визуального контроля.
- Новые композиты и адгезивные системы обеспечивают долговечность свыше 7 лет при сохранении естественной эстетики.
- Благодаря продуманной диагностике и пошаговому моделированию прямая реставрация становится управляемым и предсказуемым процессом — от изоляции до финального блеска.
Цикла вебинаров
Современные протоколы прямых реставраций:
Цикл вебинаров для врачей - стоматологов «Современные протоколы прямых реставраций: от диагностики до блеска»
43 490 ₽
16 780 ₽
Программа
- Вебинар № 1. «Мастерство прямой реставрации фронтальных зубов: простота в сложных техниках» - Али Дулатов
- Вебинар № 2. «Восстановление жевательных зубов в прямой реставрации» - Илья Толмачев
- Вебинар № 3. «Реставрации по II классу» - Абиев Эмиль Чингизович
- Вебинар № 4. «Реставрация зубов в боковом сегменте. Создание плотного контактного пункта» - Пяткова Ирина Владимировна
- Вебинар № 5. «Инновационные методики использования адгезивных технологий в прямой и непрямой реставрации зубов» - Александр Григорьев
- Вебинар № 6. «Эстетическая и функциональная реставрация дистальной группы зубов» - Сандлер Ирина Владимировна
- Вебинар № 7. «Ошибки в прямой реставрации зубов. Разбор полетов» - Александр Павлов
- Вебинар № 8. «Композитная реставрация жевательной группы зубов» - Абиев Эмиль Чингизович
- Вебинар № 9. «Бразильская школа прямой эстетической реставрации» - Антипенко Алексей Эдуардович
- Лекция № 10. «Пути повышения предсказуемости результатов и долговечности реставраций по поводу некариозных поражений зубов» - Алпатова Виктория Георгиевна
Все в одном цикле
- ✓ Экономия 60%
- ✓ 10 вебинаров
- ✓ Цельная программа
- ✓ Сертификат
Программа вебинаров
из цикла:
Практический вебинар для стоматологов - ортопедов «Мастерство прямой реставрации фронтальных зубов: простота в сложных техниках»
4 490 ₽
3 990 ₽
Программа
- Смена парадигмы: от сложного к простому. Биламинарная методика и стратификация в современной реставрации фронта
- Реставрация по IV классу. Как достичь желаемого результата, используя простые и понятные техники
- Восстановление небной стенки. Силиконовый ключ и лавсановая матрица: преимущества, недостатки, когда и что применять
- Дентинное ядро. Как определить нужный объем и оттенок, чтобы избежать типичных визуальных ошибок
- Прозрачный режущий край. Почему он вызывает сложности и как добиться предсказуемого эстетического результата
- Финишная обработка реставрации. Создание макро- и микрорельефа: пошаговый протокол для естественной текстуры
- Выбор оттенков композита. Клиническая логика подбора: от теории к практике
- Разбор типичных ошибок. Что идет не так в клинических случаях и как этого избежать
Результат
После просмотра вебинара вы освоите биламинарную методику и стратификацию для реставрации фронтальных зубов, научитесь работать с IV классом, восстанавливать небную стенку, определять объем и оттенок дентинного ядра, а также создавать прозрачный режущий край для предсказуемого эстетического результата. Вы получите пошаговый протокол финишной обработки и узнаете, как правильно выбирать оттенки композита и избегать типичных ошибок в процессе реставрации.
Практический вебинар для стоматологов - ортопедов «Восстановление жевательных зубов в прямой реставрации»
4 490 ₽
3 990 ₽
Программа
- Основной и дополнительный реставрационный инструментарий
- Правила препарирования полостей для профилактики «белых линий», постпломбировочных болей, осложнений в виде пульпита
- Адгезивы, протоколы, алгоритмы
- Одонтоглифика — закономерности морфологии жевательных зубов
- Инструменты для моделирования, быстрые техники реставрации
- Восстановление плотного контактного пункта — трудность или пустяк?
- Окклюзионные схемы и правила функционирования
- Разбор проблем и часто встречающихся ситуаций
- Разбор нестандартных клинических кейсов
Результат
В ходе вебинара будут разобраны все основные моменты изоляции, адгезивной обработки, включая модные направления спиртового протокола и продемонстрированы клинические методики восстановления жевательных зубов в прямой реставрации. Семинар позволяет получить знания и навыки независимо от специфики клинического приема.
Практическая лекция для стоматологов - ортопедов и терапевтов «Реставрации по II классу»
4 990 ₽
4 490 ₽
Программа
- Нюансы и дизайн препарирования при II классе
- Как сделать красивую реставрацию и краевые валики, не спилив их по прикусу
- CAD/CID. Диагностика отпрепарированной полости. Что можно оставлять, а что нельзя
- Построение стенок двух соседних зубов
- Как бороться с инвагинациями, как избежать нависающего края реставрации
- Набор инструментария и выбор матричной системы, клиньев
- Получение плотного и правильного контактного пункта при различных дефектах
- Ошибки при реставрации по II классу, как их избежать?
- Шлифовка и полировка апроксимальных зон реставрации
- Анализ клинических случаев с полезными лайфхаками
Результат
На вебинаре будет рассмотрен четкий алгоритм создания реставраций по II классу с получением плотного и правильного контактного пункта. Вы изучите разные протоколы полировки, шлифовки и препарирования. Разберетесь во всём необходимом инструментарии и материалах, их применении, которых будет достаточно, чтобы выполнить успешную реставрацию в дальнейшем. Узнаете, как оптимизировать все и любые мелочи в процессе лечения, а также тонкости, секреты, авторские методики, анализ типичных ошибок, чтобы ваша практика стала эффективнее и проще.
Практический вебинар для врачей - стоматологов «Реставрация зубов в боковом сегменте. Создание плотного контактного пункта»
4 990 ₽
4 490 ₽
Программа
Подробный алгоритм выполнения реставрации по шагам
-
Инструменты для различных этапов реставрации
-
Применение силиконового шаблона при 1, 2 классах
-
Особенности препарирования в коффердаме. Способы, позволяющие избежать повреждения платка. Коффердам в поддесневой зоне и необходимые клампы
-
Последовательность построения реставрации. Восстановление контактного пункта: активная и пассивная методика. Как избежать появления пор, ступеней
-
Этапы финишной обработки, алгоритм полировки реставрации в коффердаме
Как избежать постоперационной чувствительности и что делать в случае её возникновения
Факторы, позволяющие экономить время: оценка высоты будущей реставрации, набор боров и полировочных систем для быстрого получения сухого блеска
Особенности фотопротокола в боковой области
Результат
На вебинаре будет рассмотрен чёткий алгоритм восстановления зубов в боковом сегменте с созданием плотного контактного пункта без появления пор и ступеней. Вы изучите разные протоколы полировки, в том числе в коффердаме, а также факторы, которые помогут добиться быстрого получения сухого блеска. Узнаете обо всём необходимом инструментарии, материалах, силиконовых шаблонах при 1, 2 классах, их применении, которых будет достаточно, чтобы выполнить успешную реставрацию в дальнейшем. Освоите различные техники качественной изоляции рабочей поверхности и особенности препарирования в коффердаме.
Практический вебинар для стоматологов - ортопедов и зубных техников «Инновационные методики использования адгезивных технологий в прямой и непрямой реставрации зубов»
4 490 ₽
3 990 ₽
Программа
- Причины дебондинга при прямой реставрации
- Классификация адгезивных систем по поколениям
- Несовместимость адгезивных систем и композитных материалов при прямой и непрямой реставрации
- Правильные адгезивные системы
- Современный и грамотный адгезивный протокол при прямой реставрации
- Новая парадигма адгезивных технологий All Universal
- Причины неудач при адгезивной фиксации полимерных штифтов
- Полимеризационное напряжение при прямой реставрации
- Схема починки композита «свежая реставрация» и «старая реставрация»
- Особенности адгезивного протокола при фиксации ортопедической конструкции из E-Max и полевошпатной керамики
Результат
После вебинара вы получите полное систематизированное представление о работе с адгезивными системами и композитными материалами. Оптимизируете практические навыки работы с адгезивными технологиями и исключите ошибки, отдаляющие вас от желаемого результата.
Онлайн-вебинар для врачей - стоматологов «Эстетическая и функциональная реставрация дистальной группы зубов»
4 490 ₽
3 990 ₽
Программа
- Диагностика и планирование реставрации
- Дентальный фотопротокол
- Анатомические ориентиры
- Свойства композитных материалов: прозрачность, опаковость, слои, оттенки, краски
- Препарирование: детали, малоинвазивное препарирование, показания, методики, индикация качества препарирования
- Адгезивное сопровождение: ошибки, осложнения
- Карта реставрации
- Морфология бугров
- Фиссуры I, II порядка
- Этапы построения реставрации
- Инструменты, приоритеты выбора
- Адаптация композита, положение инструментов
- Микрорельеф — эстетика реставрации
- Финишная обработка: этапы, инструменты
Результат
В процессе вебинара подробно разберём полный цикл эстетической и функциональной реставрации дистальной группы зубов. Разберём каждый этап и особенности данной методики. Вы изучите анатомию окклюзионной поверхности и морфологию зубов данного типа и узнаете, как правильно моделировать и воспроизводить реставрацию, полностью сохраняя характеристики и возможности зубов. Сможете исключить распространённые ошибки из практики.
Практический вебинар для стоматологов - ортопедов «Ошибки в прямой реставрации зубов. Разбор полетов»
3 990 ₽
3 490 ₽
Программа
- Некорректная анатомия
- Белая или прокрашенная линия по границе
- Дизайн препарирования
- Правила работы с композитом
- Недостаточная полимеризация
- Финишная обработка
Результат
На вебинаре вы разберётесь в наиболее частых ошибках при проведении прямой реставрации, которые делают реставрацию несостоятельной за короткий срок. Получите пошаговые алгоритмы профилактики и исправления ошибок. Рассмотрите детали, гарантирующие успех реставрации, и прокачаете уже имеющиеся навыки.
Практический вебинар для стоматологов - терапевтов «Композитная реставрация жевательной группы зубов»
5 670 ₽
3 590 ₽
Программа
- Анатомия и морфология зубов жевательного отдела
- Набор инструментов для реставрации в дистальном сегменте
- Выбор композитного материала
- Работа с красками
- Подробный разбор всех методик моделирования
- Видеообзор погребневой методики моделирования
- Основные ошибки
- Протокол финишной полировки
Результат
На вебинаре вы освоите анатомию и морфологию зубов жевательного отдела, узнаете как правильно моделировать и воспроизводить реставрацию зубов, не нарушая функциональную реабилитацию.
Практический вебинар для врачей - стоматологов «Бразильская школа прямой эстетической реставрации»
4 490 ₽
3 990 ₽
Программа
- Современные стоматологические технологии и материалы
- Бразильские композитные материалы. Технология применения, секреты и практические рекомендации
- Биомиметика
- Основы долговечного сохранения результатов
- Сравнение с аналогами
- Основы реставрации
- Основы работы и способы поэтапного восстановления фронтальных III, IV КЛАСС и жевательных I и II КЛАСС групп зубов
- Работа с композитными материалами — восстановление IV КЛАССА и I КЛАССА на модели
- Планирование лечения
- Отбеливать или нет?
- Оценка факторов риска и общей ситуации
- Пошаговый алгоритм восстановления
- Необходимый армаментариум и базовые мануальные навыки
- Цвет и свет. Фото
- Mock-up
- Выбор цветовой комбинации
- Дизайн и формирование полости
- Гемостаз операционного поля
- Силиконовые ключи и техника фиссурного штампа
- Секреты надежного бондинга
- Моделировка рельефов
- Работа с измененными тканями
- Правила моделирования
- Важные аспекты окклюзии
- Финишная обработка и финальный фотопротокол
- Оценка результатов
Результат
На вебинаре вы рассмотрите, как делать биофункциональную прямую реставрацию фронтальной группы зубов современными композитными материалами в концепции бразильской школы эстетической стоматологии. Разберём каждый этап и особенности данной методики. Вы узнаете, как правильно моделировать и воспроизводить реставрацию, полностью сохраняя характеристики и возможности зубов. Научитесь подбирать материалы и инструменты под клиническую ситуацию и грамотно использовать их на практике.
Лекция для врачей - стоматологов «Пути повышения предсказуемости результатов и долговечности реставраций по поводу некариозных поражений зубов»
4 490 ₽
3 990 ₽
Программа
- Международная классификация стоматологических болезней (ICD-DA, ВОЗ, Женева, 1995) некариозные болезни твердых тканей зубов
- Причины клиновидных дефектов
- Лечение клиновидных дефектов
- Устранение гиперчувствительности, материалы
- Реставрация пломбировочным материалом
- Изоляция (коффердам — различные техники наложения, система LM GENGIVA). Сравнение, показания, преимущества, недостатки
- Дизайн препарирования, микроабразия, влияние на долговечность реставрации
- Выбор пломбировочного материала
- Выбор адгезивного протокола в зависимости от степени минерализации дентина
- Влияние различных техник внесения пломбировочного материала на долговечность реставрации
- Особенности финишной обработки
- Окклюзионная коррекция: система T-scan
- Сочетание абфракции с заболеваниями пародонта
- Планирование хирургического пародонтологического лечения в сочетании с реставрацией (комбинированное реставрационно-хирургическое лечение), этапность в зависимости от уровня расположения клиновидного дефекта
Результат
На лекции вы получите полное понимание о разнообразной по клиническим проявлениям и происхождению группе заболеваний некариозных поражений твердых тканей зуба. Научитесь правильно и своевременно выявлять и диагностировать все виды некариозных поражений, проводить дифференциальную диагностику, выбирать тактику лечения в зависимости от вида и тяжести поражения.
Все в одном цикле
- ✓ Экономия 60%
- ✓ 10 вебинаров
- ✓ Цельная программа
- ✓ Сертификат
Цикл будет полезен:
Кейсы по прямой реставрации
| Вам на почту и по смс придет уникальная ссылка для личного доступа к циклу или отдельному вебинару | |
| Вам нужно будет просто перейти по ссылке, и вы попадете в личный кабинет, где сможете смотреть цикл или отдельный вебинар | |
| Все вебинары доступны в записи, можете смотреть их в любое удобное время из любой точки мира |
Спикеры цикла вебинаровМы работаем только с профессионалами в своем деле, чтобы обучение для вас было комфортным, простым и понятным
листай вправо-влево

Али Дулатов
Специалист по прямой реставрации, с 2022 года выступает в роли ведущего спикера, формируя инновационные подходы к обучению стоматологов.

Илья Толмачев
Врач-стоматолог, проводит обучающие программы для врачей-стоматологов по всей России и за рубежом с 2010 года.

Эмиль Абиев
Врач-стоматолог, реставратор, ортопед, специалист в области эстетической и реставрационной стоматологии.

Ирина Пяткова
Врач стоматолог-терапевт, к.м.н., стаж работы более 14 лет, обладатель гранта Ассоциации «Альма Матер» и гранта стоматологической клиники «Райден».

Александр Григорьев
Стоматолог-терапевт, руководитель учебного центра «Dental Academy»

Ирина Сандлер
Сертифицированный специалист в области терапевтической, ортопедической, стоматологии. Практикующий врач в области эстетической стоматологии сети медицинских центров YOURMED Clinic.

Александр Павлов
Стоматолог-терапевт и ортопед, ведущий специалист Australian dental central (Эль Кувейт) и Нейромышечной клиники Дентап (Москва).

Алексей
Антипенко
Врач-стоматолог, основное направление — эстетическая стоматология. Стаж более 15 лет.
Клинический консультант компании FGM (BR).

Виктория Алпатова
Практикующий врач стоматолог-терапевт, детский стоматолог, пародонтолог, стаж более 28 лет. Доктор медицинских наук., обладатель 2 изобретений и 3-х рационализаторских предложений.
FAQ
Социальная сеть

*Признана экстремистской
организацией и запрещена в РФ
Все права защищены
ИП Налетов Григорий Алексеевич
ОРГНИП 322762700019102
152905, ул. Суркова, д.21, кв.66, г. Рыбинск, Ярославская область
Остались вопросы?
Оставьте ваши контакты и менеджер с вами свяжется