Если в корзине что-то есть - она будет показана на странице.
Для оформления заказа будет использована форма с кодом b-6a317
Для оформления заказа будет использована форма с кодом b-6a317
Остались вопросы?
Оставьте ваши контакты и менеджер с вами свяжется
Александр Минаков
Терапия, ортопедия
Врач стоматолог-терапевт с опытом работы более 15 лет.
- Эксперт в области художественной реставрации и эндодонтии любой степени сложности
- Лектор дискуссионного клуба «Квинтэссенция», «Aurum Academy», лектор учебного центра " S.T.I. Dent".
- Участник конференций,посвящённых эндодонтии и эстетической стоматологии.
- Опыт работы с микроскопом более 10 лет
- Проходил обучение у всемирно-известных врачей, таких как, Дидье Дичи, Лоренцо Ванини, Арналдо Кастелуччи, Йорди Манаута, Доменико Рикуччи, Гаэтано Паолоне, Винченцо Мусела
Курсы и вебинары от спикера:
Прямая реставрация фронтальной группы зубов
6 модулей
Александр Минаков
Реставрация
19 990 ₽
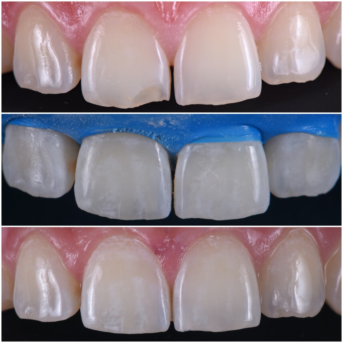
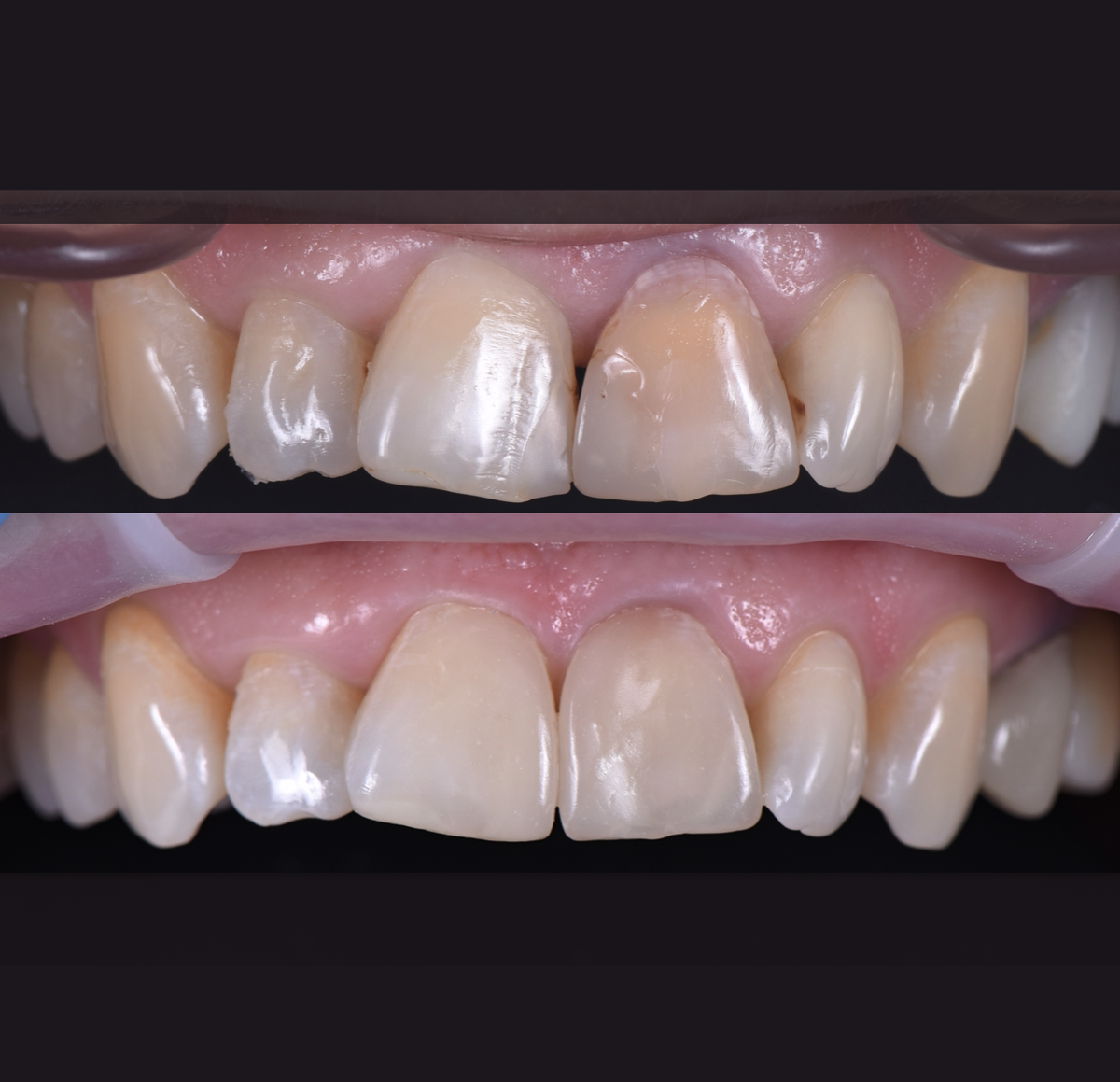
Научитесь проводить реставрации фронтальной группы зубов от А до Я и уберете 96% ошибок из своей практики
Социальная сеть

*Признана экстремистской
организацией и запрещена в РФ
Все права защищены
ИП Налетов Григорий Алексеевич
ОРГНИП 322762700019102
152905, ул. Суркова, д.21, кв.66, г. Рыбинск, Ярославская область
Остались вопросы?
Оставьте ваши контакты и менеджер с вами свяжется