Для оформления заказа будет использована форма с кодом b-6a317
Остались вопросы?
Оставьте ваши контакты и менеджер с вами свяжется
17 ноября
19:00 МСК
Вебинар Владислава Юдина по дентальной фотографии для стоматологов и зубных техников
Внутриротовой фотопротокол: пошаговый алгоритм без ошибок
После вебинара «Внутриротовой фотопротокол: пошаговый алгоритм без ошибок» вы получите четкое понимание, зачем нужен этот протокол и как встроить его в повседневную практику. Научитесь работать в связке стоматолог–ассистент–пациент, использовать базовые настройки камеры и вспышки для стабильного качества, а также пошагово проводить съемку по проверенной схеме. В результате вы избежите распространенных ошибок и сможете уверенно создавать профессиональные внутриротовые фотографии, которые будут ценны для диагностики, документации и общения с пациентами.
Вебинар будет сопровождаться практическими рекомендациями и кейсами из опыта лектора
📸 Внутриротовой фотопротокол
Зачем нужен:
-
Позволяет фиксировать состояние зубов и мягких тканей для диагностики и динамического наблюдения.
-
Упрощает коммуникацию между стоматологом, ассистентом, зубным техником и пациентом.
-
Помогает документировать клинические случаи и обосновывать план лечения.
-
Создает единый визуальный стандарт в практике и клинике.
Что включает:
-
Последовательность снимков (фронтальные, боковые, окклюзионные виды).
-
Использование зеркал, ретракторов и контрасторов для корректного кадра.
-
Фиксацию естественного цвета и формы зубов без искажений.
Преимущества:
-
Повышает качество диагностики и точность планирования.
-
Сокращает количество ошибок в передаче информации между специалистами.
-
Улучшает доверие пациента — визуальный контроль прогресса лечения.
-
Является обязательной частью современных цифровых протоколов.
Программа вебинара:
Тема 1
Зачем нужен внутриротовой протокол и как начать его применять
РЕЗУЛЬТАТ
Вы поймете, какие задачи решает внутриротовой фотопротокол — от диагностики и документирования до коммуникации с пациентом и лабораторией. Научитесь внедрять его в ежедневную практику, даже если раньше не снимали системно.
Тема 2
Работа в связке стоматолог–ассистент–пациент
РЕЗУЛЬТАТ
Освоите распределение ролей, взаимодействие в процессе съемки и правильную организацию рабочего пространства. Съемка станет быстрее, комфортнее и без лишнего стресса для пациента.
Тема 3
Базовые настройки камеры и вспышки
РЕЗУЛЬТАТ
Разберетесь в параметрах экспозиции, фокусном расстоянии, ISO и балансе белого. Подберете оптимальные настройки под свой тип камеры и освещение, чтобы получать четкие, цветокорректные снимки.
Тема 4
Пошаговая схема съемки внутриротового фотопротокола
РЕЗУЛЬТАТ
Получите готовый алгоритм действий: от подготовки пациента и зеркал до последовательности кадров. Сможете снимать полный протокол без пропусков и дублирования.
Тема 5
Частые ошибки и способы их избежать
РЕЗУЛЬТАТ
Научитесь видеть и исправлять типичные недочеты — пересвет, запотевшие зеркала, неправильный угол, фокус или тени. Будете уверенно получать качественные, стандартизированные фотографии с первого раза.
А также вы получите:
Специальная стоимость вебинара Владислава Юдина
"Внутриротовой фотопротокол: пошаговый алгоритм без ошибок?"
4 490 руб.
3 990 руб.
3 490 руб.
4 490руб.
3 990руб.
3 490 руб.
Специальная стоимость вебинара Владислава Юдина
"Внутриротовой фотопротокол: пошаговый алгоритм без ошибок?"
Вебинар будет полезен:
Автор вебинара
Автор вебинара
Владислав Юдин
Врач стоматолог-ортопед
Владислав Юдин
Врач стоматолог-ортопед,
стаж работы более 10 лет
- Окончил Красноярский медицинский университет КрасГМУ
- Работает над визуальной идентичностью первой в мире стоматологической клинике с концепцией Mouth SPA в Дубае, GBT Clinic by Dr. Khalid
- Стоматолог, который не расстается с камерой
- Профессиональный видеомейкер и фотограф с общим стажем более 10 лет.
- Основатель онлайн школы по дентальной фотографии
Как проходит обучение
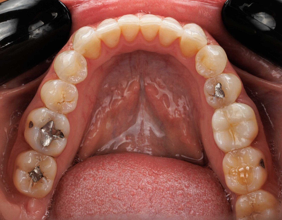
Работы Владислава Юдина
Где и как можно будет начать обучение?
| 17 ноября вам на почту и по смс придет уникальная ссылка для личного доступа к вебинару | |
| Вам необходимо перейти по ссылке, чтобы попасть в вебинарную комнату, где вы сможете смотреть трансляцию и задавать вопросы | |
| Вебинар начнется 17 ноября в 19:00 МСК | |
| Через 2 дня после вебинара вы получите доступ к записи и сертификат об участии |
FAQ
Социальная сеть

*Признана экстремистской
организацией и запрещена в РФ
Все права защищены
ИП Налетов Григорий Алексеевич
ОРГНИП 322762700019102
152905, ул. Суркова, д.21, кв.66, г. Рыбинск, Ярославская область
Остались вопросы?
Оставьте ваши контакты и менеджер с вами свяжется